产品展示更多>>
- Mouse anti-β-Actin Monoclonal Antibody

- Mouse anti-β-Actin Monoclonal Antibody
Mouse anti-β-Actin Monoclonal Antibody
概述 描述 Mouse Monoclonal Antibody (Mab)
别名 β-Actin抗体;Actin, cytoplasmic 1, Beta-actin, Actin, cytoplasmic 1, N-terminally processed, ACTB,ACTB,βActin宿主 Mouse特异性 This ACTB Monoclonal antibody is generated from mouse immunized with ACTB recombinant protein.反应种属 Human, Mouse, Rat预测反应种属 Xenopus laevis, B, C, Primate, P, R应用 WB: 1:1000, IHC-P: 1:10-50, IF: 1:10-50, FCM: 1:25分子量 Predicted molecular weight: 42kD
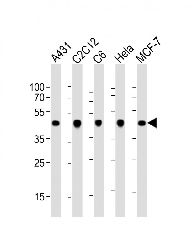
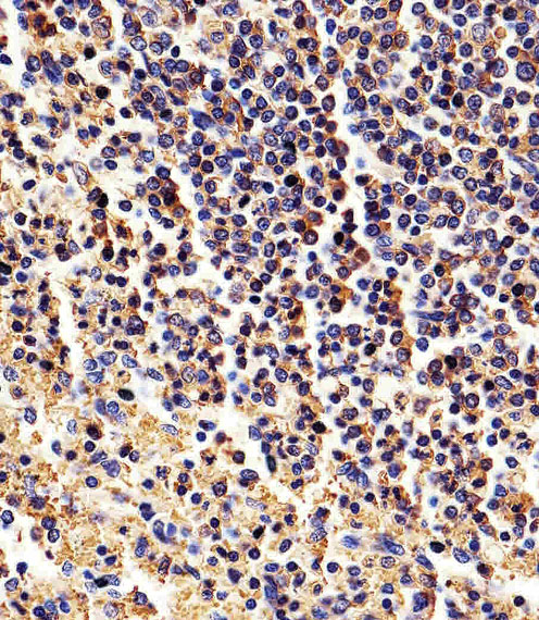
Disclaimer note: The observed molecular weight of the protein may vary from the listed predicted molecular weight due to post translational modifications, post translation cleavages, relative charges, and other experimental factors.性能 纯度 >95%类型 Monoclonal Antibody克隆号 137CT26.1.1同种型 IgG1,Igk储存/保存方法 Maintain refrigerated at 2-8°C for up to 2 weeks. For long term storage store at -20°C in small aliquots to prevent freeze-thaw cycles.存储溶液 Purified monoclonal antibody supplied in PBS with 0.09% (W/V) sodium azide. This antibody is purified through a protein G column, eluted with high and low pH buffers and neutralized immediately, followed by dialysis against PBS.靶标 背景说明 Actins are highly conserved proteins that are involved in various types of cell motility and are ubiquitously expressed in all eukaryotic cells.细胞定位 Cytoplasm, cytoskeleton. Note=Localized in cytoplasmic mRNP granules containing untranslated mRNAsUniProt P60709参考文献 参考文献 Sex-specific proteome differences in the anterior cingulate cortex of schizophrenia. Martins-de-Souza D, et al. J Psychiatr Res, 2010 Apr 8. PMID 20381070. Identification of a hormone-regulated dynamic nuclear actin network associated with estrogen receptor alpha in human breast cancer cell nuclei. Ambrosino C, et al. Mol Cell Proteomics, 2010 Jun. PMID 20308691. Contribution of rearranged actin structures to the spread of Ectromelia virus infection in vitro. Boratynska A, et al. Acta Virol, 2010. PMID 20201613. Molecular mechanisms underlying nucleocytoplasmic shuttling of actinin-4. Kumeta M, et al. J Cell Sci, 2010 Apr 1. PMID 20197409. Tyrosine phosphorylation of cofilin at Y68 by v-Src leads to its degradation through ubiquitin-proteasome pathway. Yoo Y, et al. Oncogene, 2010 Jan 14. PMID 19802004.实验结果图All lanes : Anti-ACTB Antibody at 1:1000 dilutionLane 1: A431 whole cell lysateLane 2: C2C12 whole cell lysateLane 3: C6 whole cell lysateLane 4: Hela whole cell lysateLane 5: MCF-7 whole cell lysateLysates/proteins at 20 μg per lane. SecondaryGoat Anti-mouse IgG, (H+L), Peroxidase conjugated at 1/10000 dilution. Predicted band size : 42 kDaBlocking/Dilution buffer: 5% NFDM/TBST.Immunohistochemical analysis of paraffin-embedded H.spleen section using Beta-Actin Antibody(Cat#abs100041). abs100041 was diluted at 1:25 dilution. A peroxidase-conjugated goat anti-rabbit IgG at 1:400 dilution was used as the secondary antibody, followed by DAB staining.Immunohistochemical analysis of paraffin-embedded H.spleen section using Beta-Actin Antibody(Cat#abs100041). abs100041 was diluted at 1:25 dilution. A peroxidase-conjugated goat anti-mouse IgG at 1:400 dilution was used as the secondary antibody, followed by DAB staining.Western blot analysis of anti-ACTB Antibody (Cat. #abs100041) in K562, HL-60,Hela cell line, mouse spleen, mouse liver tissue lysates, mouse NIH-3T3 cell line lysate and mouse cerebellum, mouse brain tissue lysates (35μg/lane). ACTB (arrow) was detected using the purified Mab.Confocal immunofluorescent analysis of ACTB Antibody (Cat#abs100041) with Hela cell followed by Alexa Fluor® 488-conjugated goat anti-mouse lgG (green). DAPI was used to stain the cell nuclear (blue).Mouse anti-β-Actin Monoclonal Antibody温馨提示:本产品仅作科研实验使用,不支持临床等研究





